Iklan

Pertanyaan

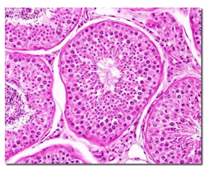
Seorang siswa sedang mengamati suatu jaringan pada salah satu organ penyusunsistem reproduksi pria dengan mikroskop cahaya. Jaringanyang ia amati sebagai berikut. Jaringan tersebut dapat kita temukan pada organ yang berfungsi sebagai ....

Seorang siswa sedang mengamati suatu jaringan pada salah satu organ penyusun sistem reproduksi pria dengan  mikroskop cahaya. Jaringan yang ia amati sebagai berikut.

Jaringan tersebut dapat kita temukan pada organ yang berfungsi sebagai .... 

  1. Testis, sebagai tempat pematangan spermaundefined 

  2. Testis, tempat proses pembentukan spermaundefined 

  3. Skrotum, mempertahankan suhu testisundefined 

  4. Epididimis, tempat pembentukan spermaundefined 

Ikuti Tryout SNBT & Menangkan E-Wallet 100rb

Habis dalam

02

:

22

:

39

:

54

Klaim

Iklan

R. Fitriani

Master Teacher

Mahasiswa/Alumni Universitas Nusantara PGRI Kediri

Jawaban terverifikasi

Jawaban

jawaban yang tepat adalah B.

jawaban yang tepat adalah B.undefined 

Pembahasan

Gambar pada soal menunjukkan struktur tubulus seminferus yang berada di dalam testis. Pada tubulus seminiferus inilah terjadi proses pembentukan sperma. Setiap testis memiliki 250 hingga 1000 tubulus yang berukuran sekitar 150 hingga 250 μm dengan diameter dan panjang masing-masing 30-70 sentimeter, panjang gabungan tubulus testis sekitar 250 meter. Pada epitel tubulus seminiferus terdapat dua sel pendukung yang berbeda, yaitu sel leydigdan sel sertoli. Sel leydig adalah sel yang berfungsi untuk menghasilkan testosteron. Testosteron adalah hormon yang berfungsi untuk spermatogenesis serta memunculkan tanda-tanda kelamin sekunder pada laki-laki, seperti tumbuhnya jakun, suara yang semakin berat, dada semakin bidang dan lain lain. Sementara sel sertoli adalah sel yang berfungsi untuk memberi nutrisi pada sperma. Dengan demikian, jawaban yang tepat adalah B.

Gambar pada soal menunjukkan struktur tubulus seminferus yang berada di dalam testis. Pada tubulus seminiferus inilah terjadi proses pembentukan sperma. Setiap testis memiliki 250 hingga 1000 tubulus yang berukuran sekitar 150 hingga 250 μm dengan diameter dan panjang masing-masing 30-70 sentimeter, panjang gabungan tubulus testis sekitar 250 meter. Pada epitel tubulus seminiferus terdapat dua sel pendukung yang berbeda, yaitu sel leydig dan sel sertoli. Sel leydig adalah sel yang berfungsi untuk menghasilkan testosteron. Testosteron adalah hormon yang berfungsi untuk spermatogenesis serta memunculkan tanda-tanda kelamin sekunder pada laki-laki, seperti tumbuhnya jakun, suara yang semakin berat, dada semakin bidang dan lain lain. Sementara sel sertoli adalah sel yang berfungsi untuk memberi nutrisi pada sperma. Dengan demikian, jawaban yang tepat adalah B.undefined 

Perdalam pemahamanmu bersama Master Teacher
di sesi Live Teaching, GRATIS!

1

Anatasya Devi

Pembahasan tidak menjawab soal Pembahasan terpotong Jawaban tidak sesuai

Vani Lufiana Marzeanti

Jawaban tidak sesuai

Iklan

Pertanyaan serupa

FSH dan LH merupakan dua hormon yang dihasilkan oleh hifosisis posterior yang memiliki fungsi penting dalam sistem reproduksi pria. FSH berperan dalam proses spermatogenesis, sedangkan LH penting untu...

2

5.0

Jawaban terverifikasi

RUANGGURU HQ

Jl. Dr. Saharjo No.161, Manggarai Selatan, Tebet, Kota Jakarta Selatan, Daerah Khusus Ibukota Jakarta 12860

Coba GRATIS Aplikasi Roboguru

Coba GRATIS Aplikasi Ruangguru

Download di Google PlayDownload di AppstoreDownload di App Gallery

Produk Ruangguru

Hubungi Kami

Ruangguru WhatsApp

+62 815-7441-0000

Email info@ruangguru.com

[email protected]

Contact 02130930000

02130930000

Ikuti Kami

©2025 Ruangguru. All Rights Reserved PT. Ruang Raya Indonesia