Iklan

Pertanyaan

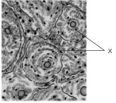
Perhatikan gambar jaringan tulang berikut! Bagian yang bertanda X adalah ...

Perhatikan gambar jaringan tulang berikut!



Bagian yang bertanda X adalah ...space 

  1. Saluran Haversspace 

  2. Lakunaspace 

  3. Kanalikulispace 

  4. Lamelaspace 

  5. Matriksspace 

Ikuti Tryout SNBT & Menangkan E-Wallet 100rb

Habis dalam

01

:

14

:

14

:

27

Klaim

Iklan

I. Amalia

Master Teacher

Mahasiswa/Alumni UIN Sunan Gunung Djati Bandung

Jawaban terverifikasi

Jawaban

jawaban yang tepat yaitu B.

jawaban yang tepat yaitu B.space 

Pembahasan

Jaringan tulang keras (osteon) atau tulang sejati merupakan penyusun kerangka tubuh yang tersusun dari komponen nonseluler berupa matriks dan komponen seluler. Pada tulang keras/ kompak, sel-sel tulang tersusun membentuk sebuah sistem yang disebut sistem havers . Bagian tengah sistem havers terdapatsaluran disebut saluran Havers yang berisi pembuluh darah, pembuluh limfa, dan saraf. Di antara dua saluran Havers dihubungkan oleh saluran Volkman. Di sekeliling sistem Havers terdapat lapisan tulang yang disebut lamela. Pada lamela-lamela inilah terdapat osteosit (sel-sel tulang) yang menempati lakuna (rongga) yang tersusun secara konsentris. Berdasarkan gambar, bagian yang ditunjuk dengan huruf X yaitu lakuna. Dengan demikian, jawaban yang tepat yaitu B.

Jaringan tulang keras (osteon) atau tulang sejati merupakan penyusun kerangka tubuh yang tersusun dari komponen nonseluler berupa matriks dan komponen seluler. Pada tulang keras/ kompak, sel-sel tulang tersusun membentuk sebuah sistem yang disebut sistem havers. Bagian tengah sistem havers terdapat saluran disebut saluran Havers yang berisi pembuluh darah, pembuluh limfa, dan saraf. Di antara dua saluran Havers dihubungkan oleh saluran Volkman. Di sekeliling sistem Havers terdapat lapisan tulang yang disebut lamela. Pada lamela-lamela inilah terdapat osteosit (sel-sel tulang) yang menempati lakuna (rongga) yang tersusun secara konsentris. Berdasarkan gambar, bagian yang ditunjuk dengan huruf X yaitu lakuna.

Dengan demikian, jawaban yang tepat yaitu B.space 

Perdalam pemahamanmu bersama Master Teacher
di sesi Live Teaching, GRATIS!

7

Iklan

Pertanyaan serupa

Sel-sel antara tulang keras satu dengan tulang keras yang lainnya dihubungkan oleh ....

8

3.5

Jawaban terverifikasi

RUANGGURU HQ

Jl. Dr. Saharjo No.161, Manggarai Selatan, Tebet, Kota Jakarta Selatan, Daerah Khusus Ibukota Jakarta 12860

Coba GRATIS Aplikasi Roboguru

Coba GRATIS Aplikasi Ruangguru

Download di Google PlayDownload di AppstoreDownload di App Gallery

Produk Ruangguru

Hubungi Kami

Ruangguru WhatsApp

+62 815-7441-0000

Email info@ruangguru.com

[email protected]

Contact 02130930000

02130930000

Ikuti Kami

©2025 Ruangguru. All Rights Reserved PT. Ruang Raya Indonesia