Iklan
Pertanyaan
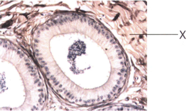
Perhatikan gambar berikut!

Jaringan yang ditunjuk oleh huruf X selalu berhubungan dengan jaringan lainnya atau organ. Tuliskan empat fungsi jaringan tersebut!
Iklan
A. Acfreelance
Master Teacher
1
3.0 (2 rating)
naila sofyah 10 mipa 3
Jawaban tidak sesuai
Iklan
RUANGGURU HQ
Jl. Dr. Saharjo No.161, Manggarai Selatan, Tebet, Kota Jakarta Selatan, Daerah Khusus Ibukota Jakarta 12860
Produk Ruangguru
Bantuan & Panduan
Hubungi Kami
©2026 Ruangguru. All Rights Reserved PT. Ruang Raya Indonesia