Iklan

Pertanyaan

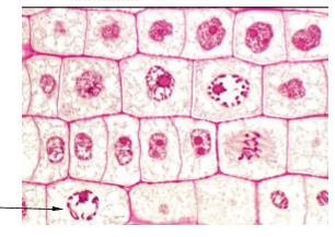
Pada praktikum biologi, Ani mencoba untuk mengamati preparat penampang melintang pada akar bawang merah dibawah mikroskop. Lalu, ia memperoleh hasil sebagai berikut : Tahap mitosis yang terjadi pada sel yang ditunjukkan oleh tanda panah tersebut adalah..

Pada praktikum biologi, Ani mencoba untuk mengamati preparat penampang melintang pada akar bawang merah dibawah mikroskop. Lalu, ia memperoleh hasil sebagai berikut :

Tahap mitosis yang terjadi pada sel yang ditunjukkan oleh tanda panah tersebut adalah..

  1. Telofase

  2. Anafase

  3. Profase

  4. Metafase

  5. Interfase

Ikuti Tryout SNBT & Menangkan E-Wallet 100rb

Habis dalam

02

:

23

:

23

:

25

Klaim

Iklan

A. Acfreelance

Master Teacher

Jawaban terverifikasi

Jawaban

kromosom dalam nukleus akan terlihat jelas. Pada profase akhir, masing-masing kromosom terlihat terdiri dari dua kromatid. Selanjutnya, nukleolus hilang dan membran nukleus hancur.

kromosom dalam nukleus akan terlihat jelas. Pada profase akhir, masing-masing kromosom terlihat terdiri dari dua kromatid. Selanjutnya, nukleolus hilang dan membran nukleus hancur.

Pembahasan

Tahapan pada sel tersebut adalah profase. Pada profase awal, kromosom mulai tampak lebih pendek serta menebal. Pada fase ini, benang-benang kromatin mulai mengalami pemendekan dan penebalan. Sehingga kromosom dalam nukleus akan terlihat jelas. Pada profase akhir, masing-masing kromosom terlihat terdiri dari dua kromatid. Selanjutnya, nukleolus hilang dan membran nukleus hancur.

Tahapan pada sel tersebut adalah profase. Pada profase awal, kromosom mulai tampak lebih pendek serta menebal. Pada fase ini, benang-benang kromatin mulai mengalami pemendekan dan penebalan. Sehingga kromosom dalam nukleus akan terlihat jelas. Pada profase akhir, masing-masing kromosom terlihat terdiri dari dua kromatid. Selanjutnya, nukleolus hilang dan membran nukleus hancur.

Perdalam pemahamanmu bersama Master Teacher
di sesi Live Teaching, GRATIS!

26

Iklan

Pertanyaan serupa

Pembelahan sel yang menghasilkan sel anak yang memiliki jumlah ploidi kromosom yang sama dengan induknya. Tahapan yang benar mengenai pembelahan sel tersebut adalah...

1

5.0

Jawaban terverifikasi

RUANGGURU HQ

Jl. Dr. Saharjo No.161, Manggarai Selatan, Tebet, Kota Jakarta Selatan, Daerah Khusus Ibukota Jakarta 12860

Coba GRATIS Aplikasi Roboguru

Coba GRATIS Aplikasi Ruangguru

Download di Google PlayDownload di AppstoreDownload di App Gallery

Produk Ruangguru

Hubungi Kami

Ruangguru WhatsApp

+62 815-7441-0000

Email info@ruangguru.com

[email protected]

Contact 02130930000

02130930000

Ikuti Kami

©2025 Ruangguru. All Rights Reserved PT. Ruang Raya Indonesia